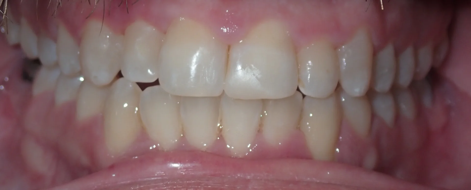
Before
After
Dr. Matt completed four front porcelain crowns to transform this patient’s smile.
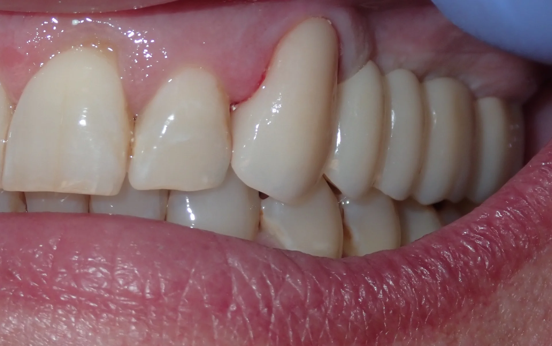
Before
After
Dr. Matt used 2 simple fillings in under 20 minutes to allow this patient to smile confidently again!
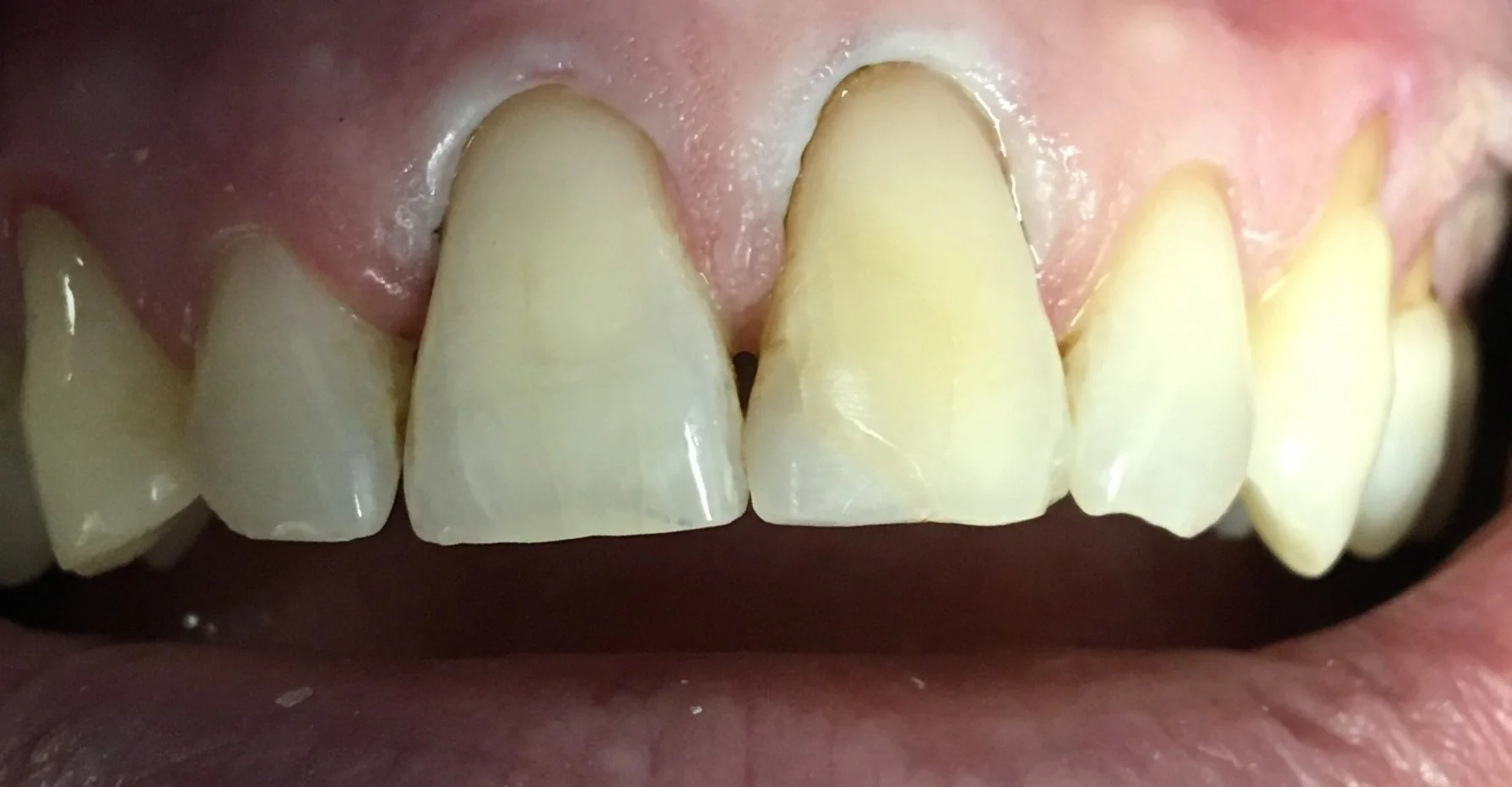
Before
After
This patient has never liked the dark spot on his tooth… Dr. Matt used cosmetic bonding to make this patient love his smile again in under 20 minutes!
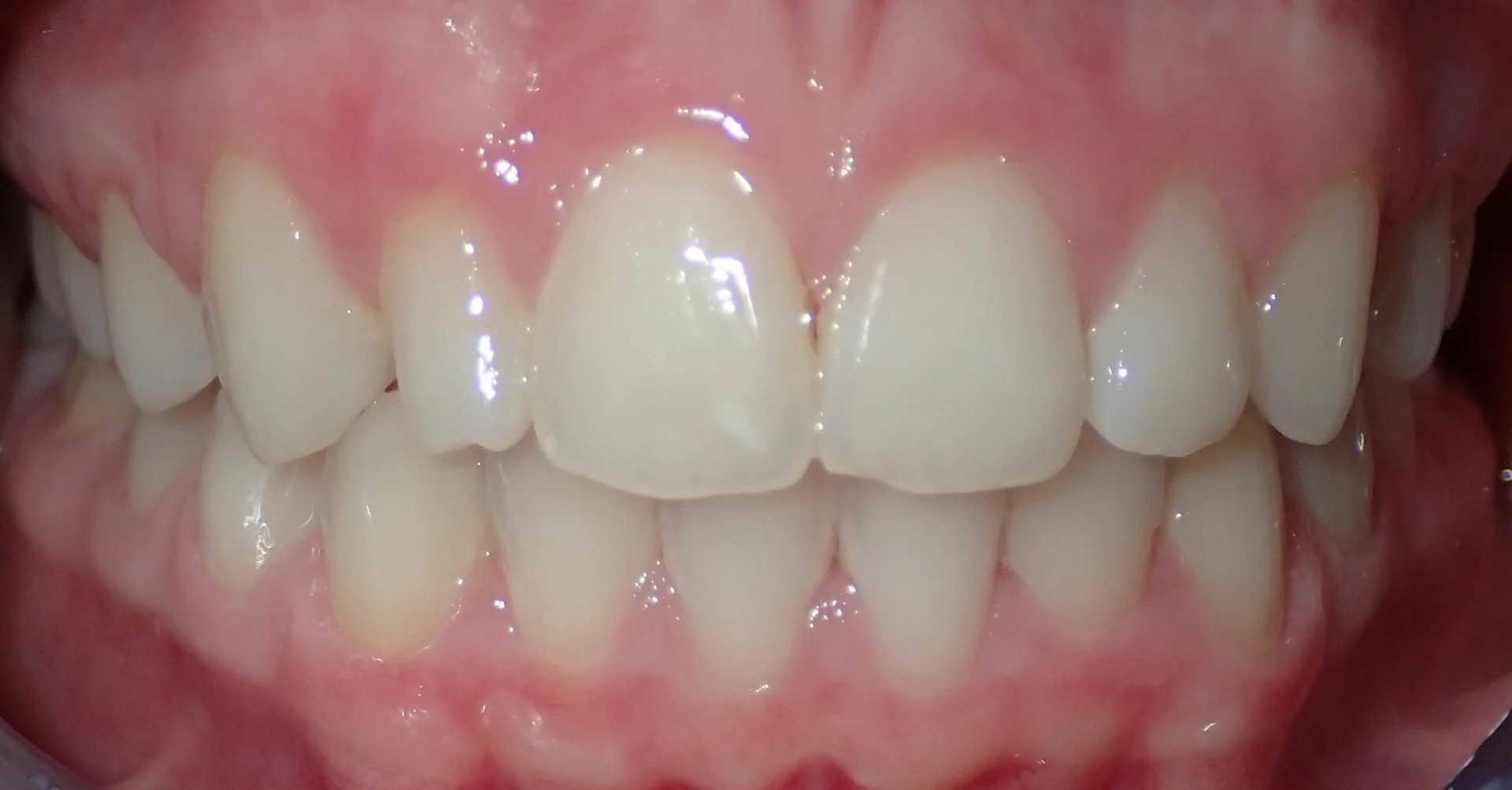
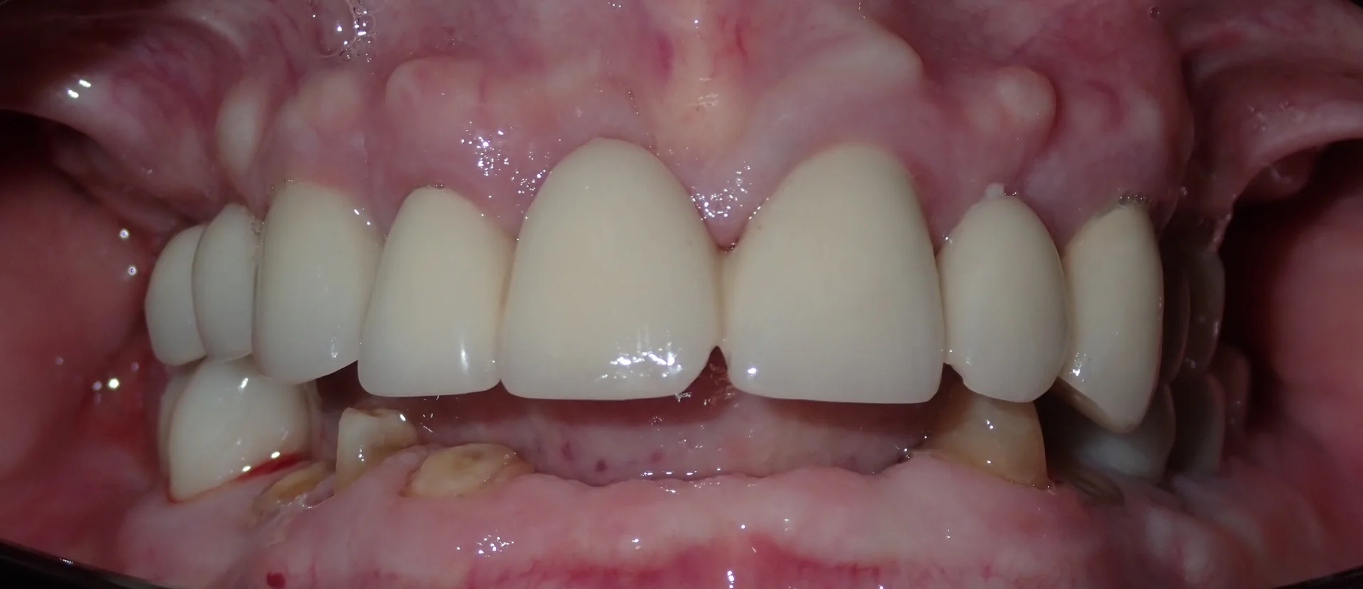
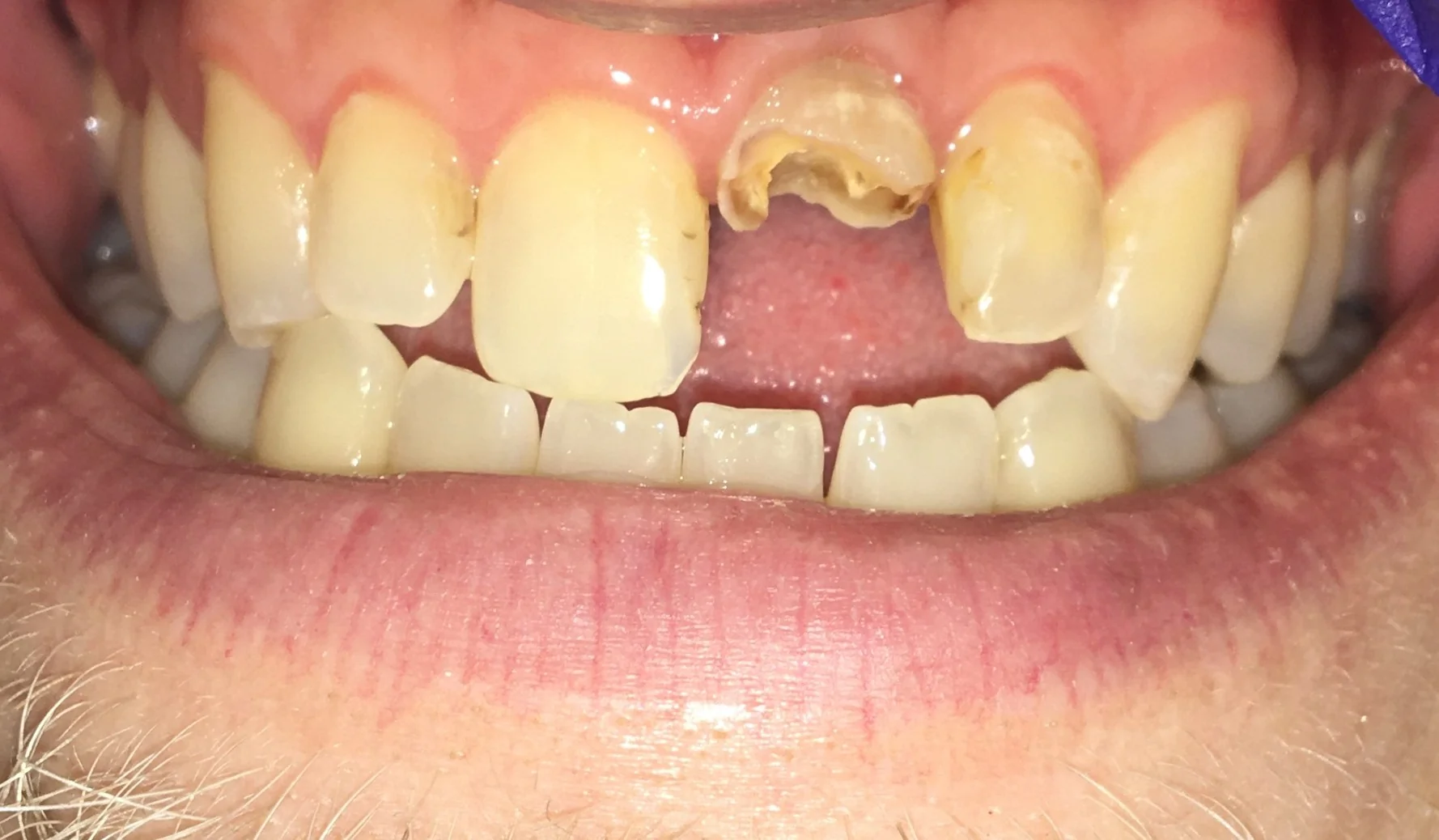
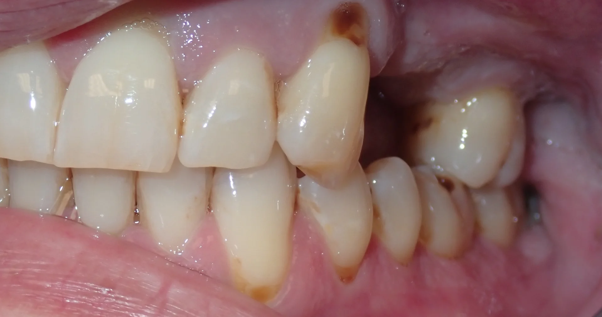
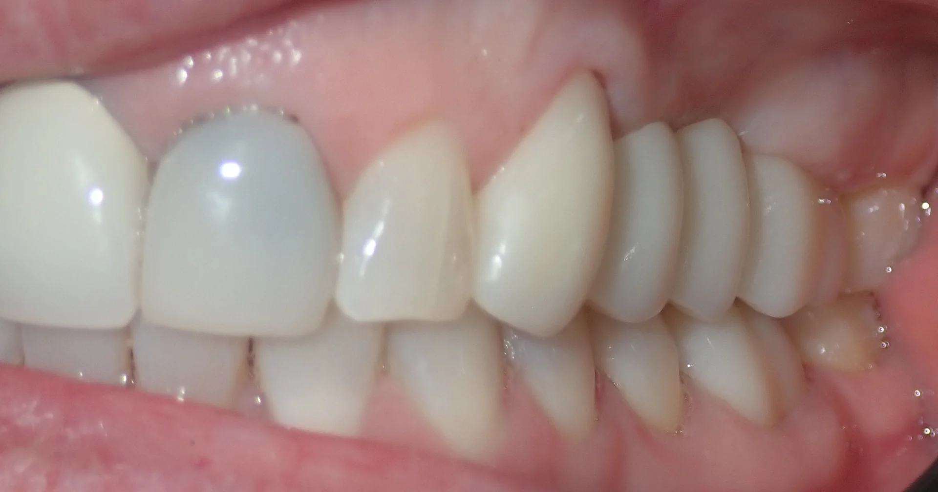
Before
After
Dr. Matt planned and completed removal of failing teeth and used a porcelain bridge to transform this patient’s smile.
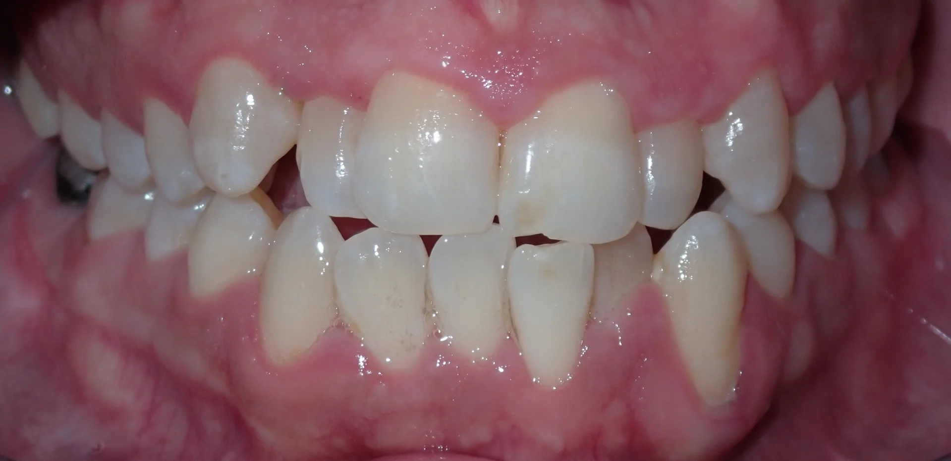
Before
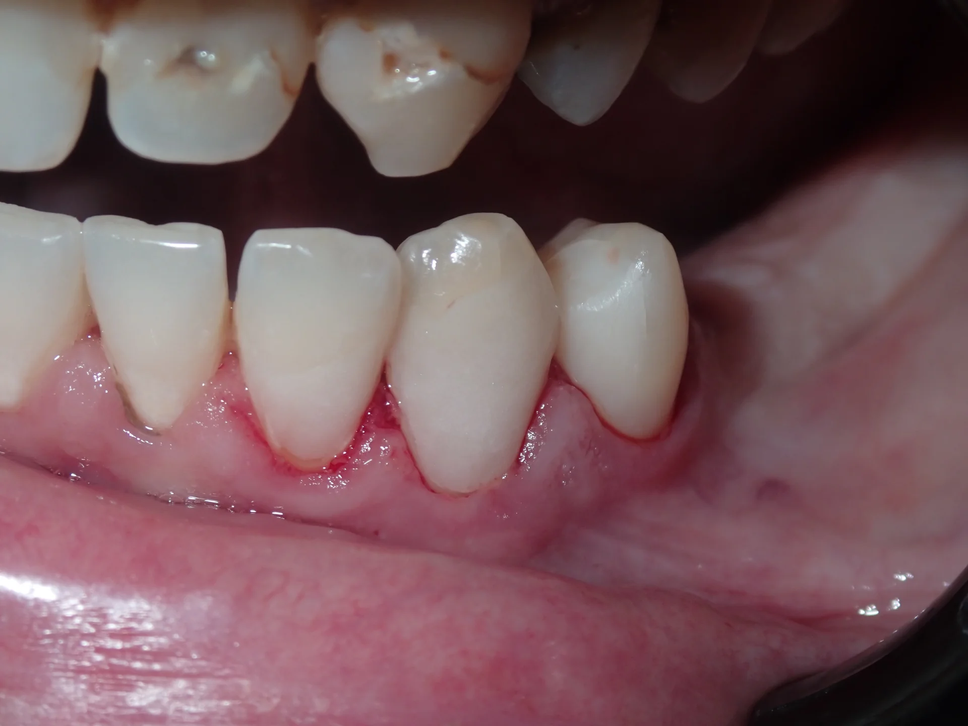
After
Placing a crown on a broken canine tooth and replacing an old filling on a front tooth made all the difference in this patient’s smile.
Before
After
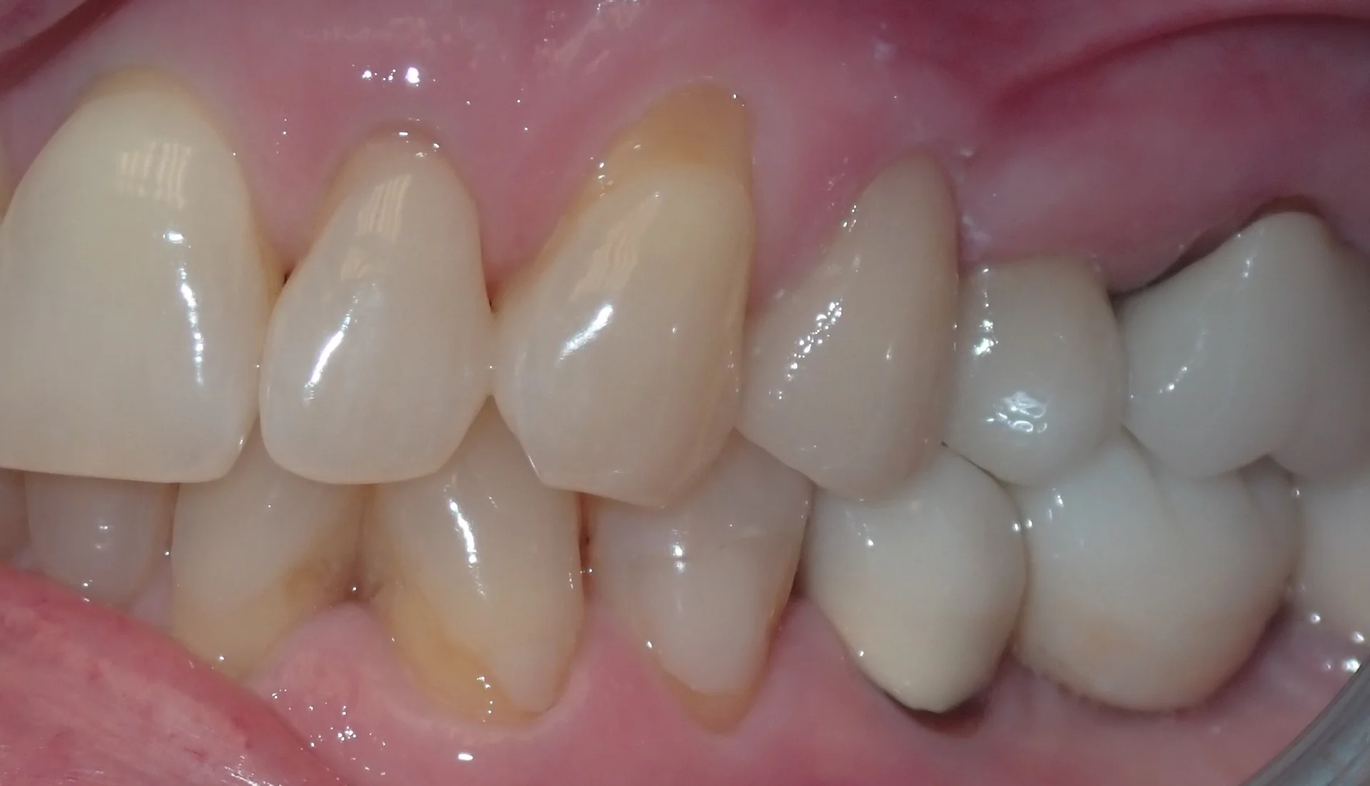
A combination of crowns and bridges planned and completed by Dr. Matt transformed this patient’s smile and brought back all of his confidence.
Before
After
A lower bridge completed by Dr. Matt gave this patient the ability to smile and chew again!
Before
After
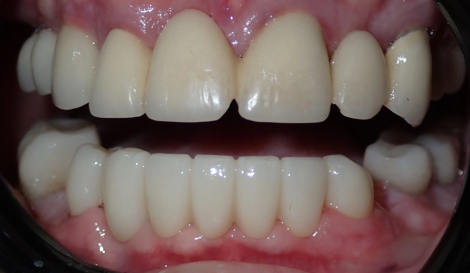
Four front porcelain crowns placed by Dr. Matt restored years of wear and made this patient confident in their smile again!
Before
After
This patient hated her dark, sunken stained teeth from old metal fillings. 2 porcelain crowns placed by Dr. Matt made all the difference in giving her the confidence to smile again!
Before
After
A combination of Sure Smile clear aligner orthodontic treatment and six composite veneers were planned and completed by Dr. Matt to transform this patient’s smile!
Before
After
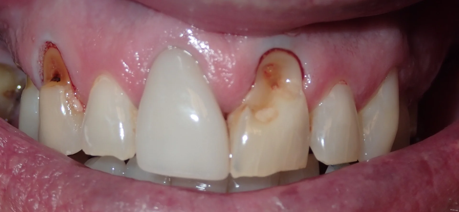
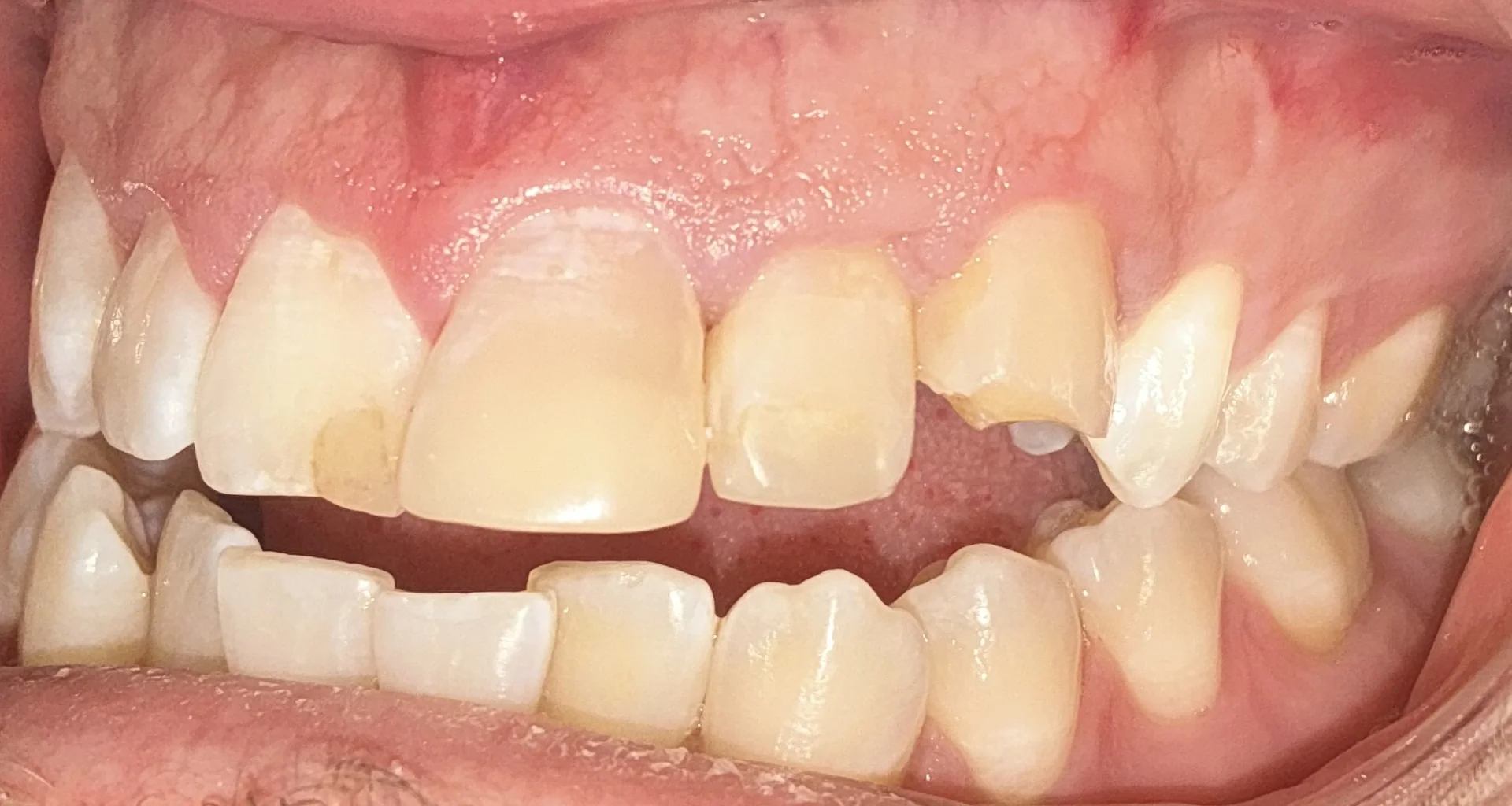
A sports accident broke this patient’s front tooth. In under 30 minutes, Dr. Matt crafted a large beautiful filling so this patient could smile again!
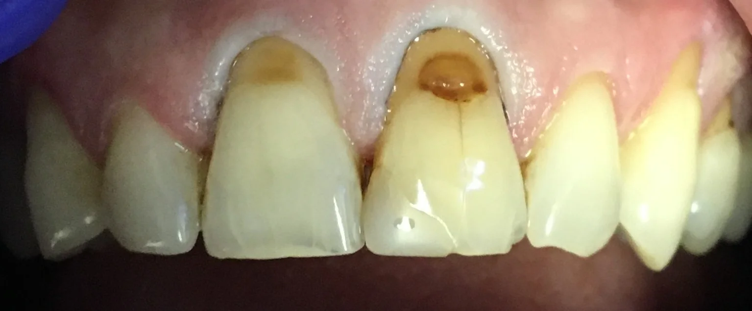
Before
After
This patient hated the darkness of her tooth caused by a cavity on the backside of the tooth. The cavity was removed and replaced by a simple tooth colored filling by Dr. Matt to give this patient the confidence to smile again!
Before
After
This patient hadn’t been able to chew effectively for years… 2 implants and crowns were placed by Dr. Matt to give this patient the ability to chew her favorite foods again!
Before
After
An emergency patient that Dr. Matt was able to see same day had his chipped teeth fixed with 2 tooth colored fillings. Good as new and on with the rest of his day!
Before
After
Dr. Matt used a partial denture to replace multiple teeth on this patient so that he could smile and chew confidently again!
Before
After
This patient disliked his darkened, chipped and worn front teeth and finally felt comfortable enough to have them addressed. Dr. Matt used four porcelain crowns to give this patient the smile he has always wanted.
Before
After
This patient had a dental emergency where they broke their front tooth. Dr. Matt was able to fix their tooth the same day with a tooth colored filling and get them back to their normal day.
Before
After
This patient never liked their gaps and discolored front teeth. Six composite veneers were placed in one visit to transform this patient’s smile and confidence again!
Before
After
This patient was embarrassed to smile with missing her upper and lower back left teeth. Dr. Matt used porcelain bridges and crowns to give this patient a full set of teeth to smile and chew with!
Before
After
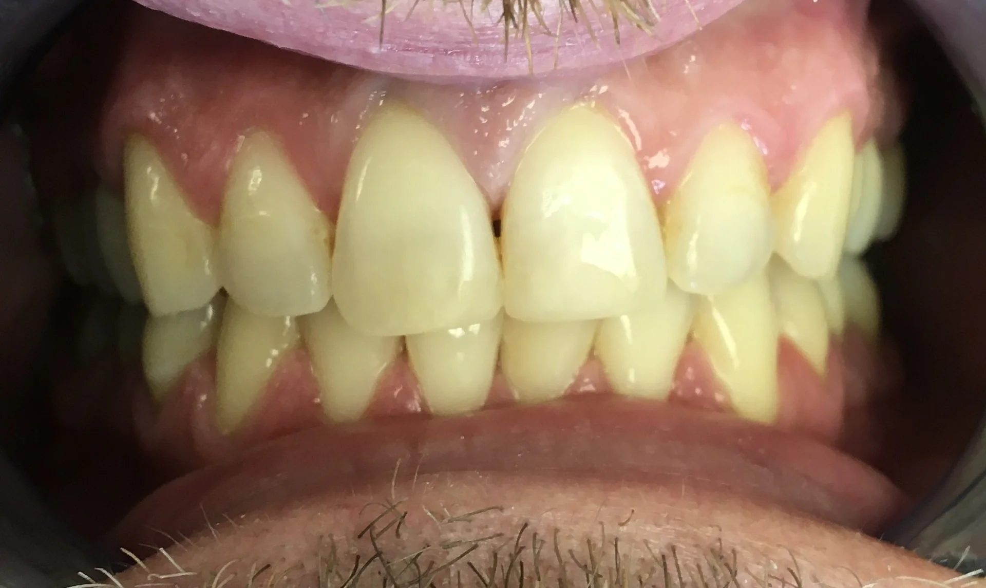
This patient never liked his smile. Dr. Matt planned and completed Sure Smile clear aligner orthodontic treatment to straighten this patient’s teeth and give him the smile he has always wanted without being referred to an orthodontist!
Before
After
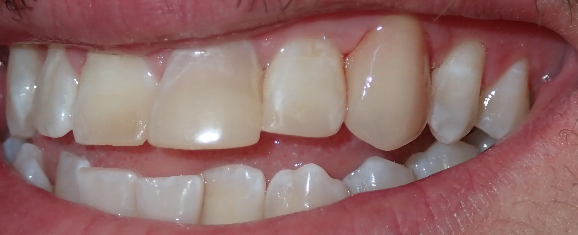
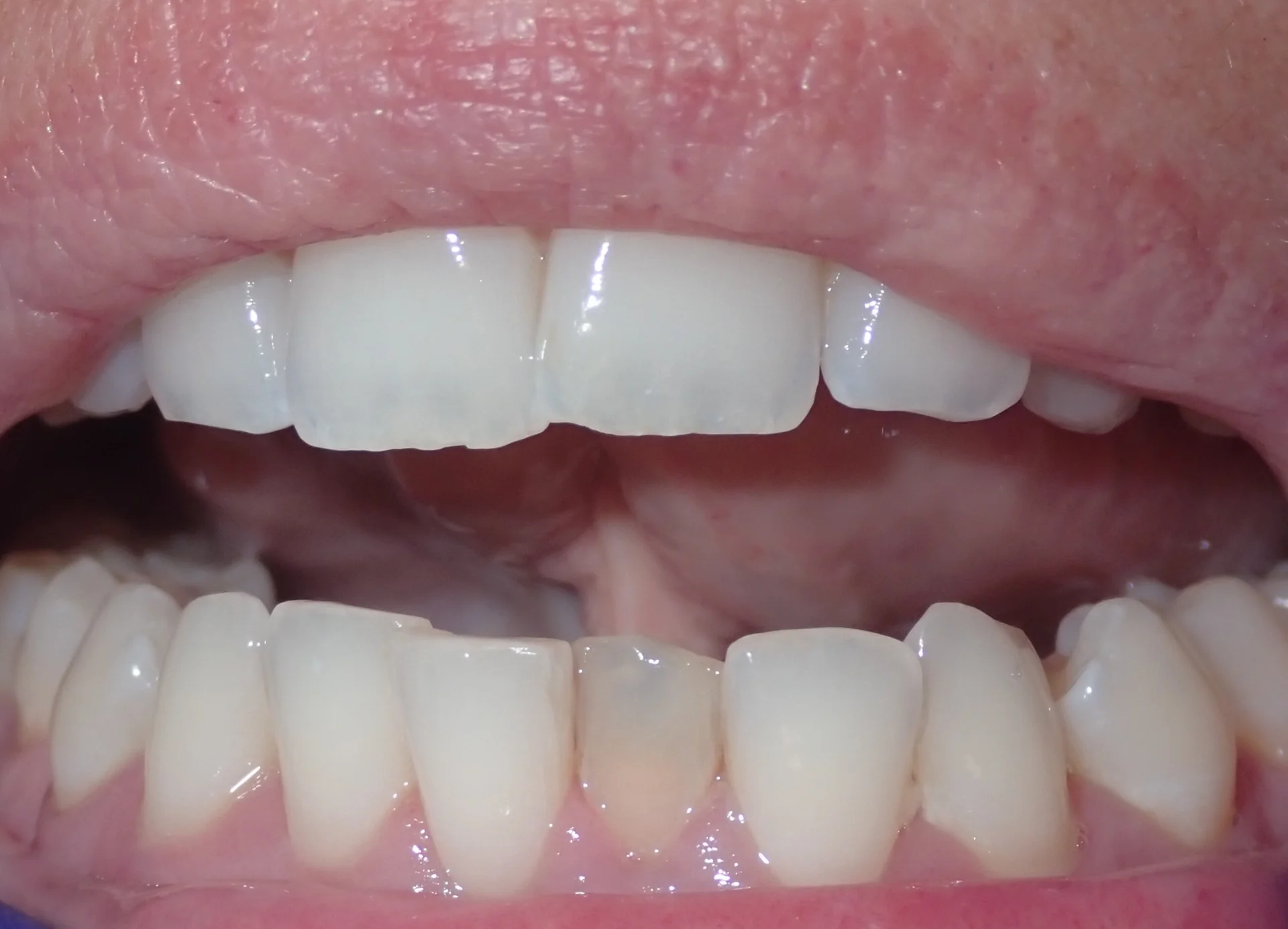
This patient had an accident when they were a kid that made their lower tooth darken over time. A single porcelain veneer was placed to give this patient confidence in their smile again!
Before
After
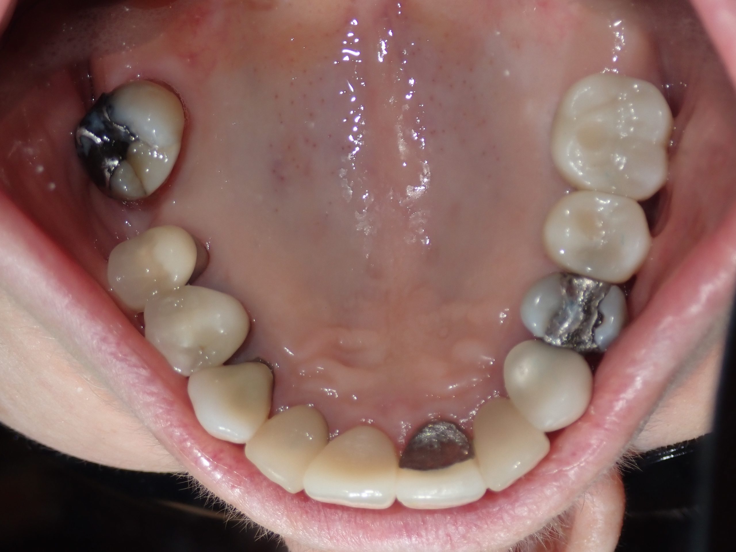
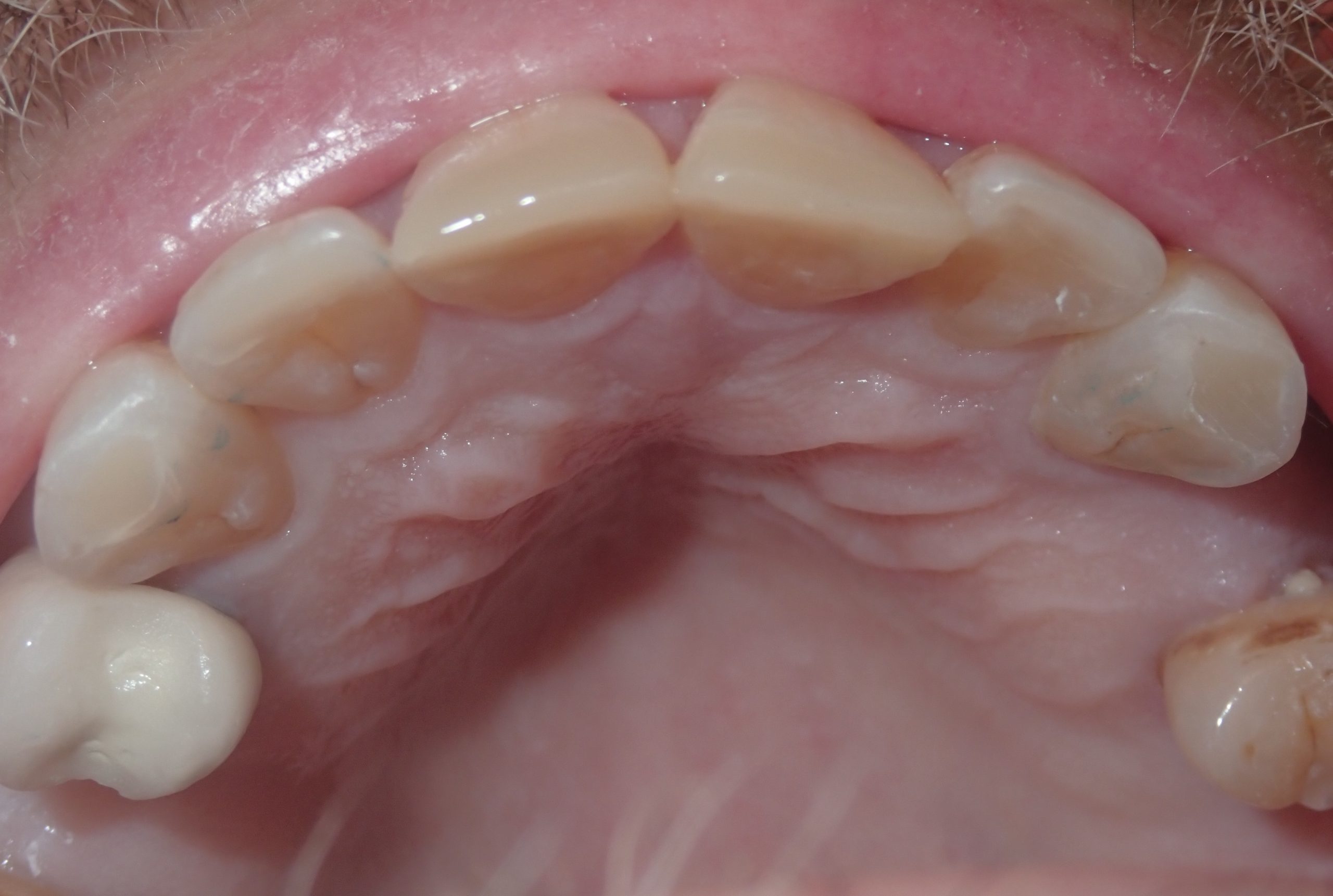
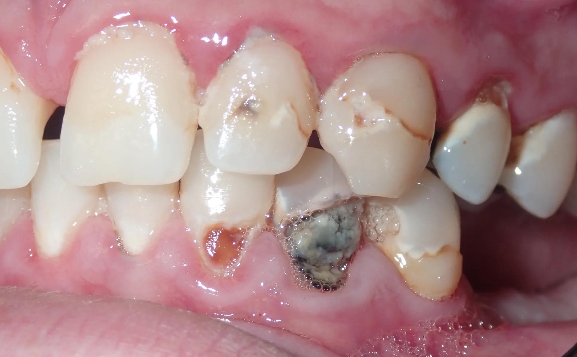
This patient was embarrassed of the cavities formed on his teeth and had lost all confidence and ability to smile. Dr. Matt fixed their top 6 teeth in one appointment with tooth colored fillings so that the patient could finally smile and chew again with confidence.
Before
After
This patient never liked their underdeveloped front tooth. A single porcelain veneer was placed bringing harmony back into this patient’s smile!
Before
After
This patient had an accident where he broke his front teeth. Dr. Matt fixed both in under 40 minutes with tooth colored fillings so the patient could return to his day and smile again!
Before
After
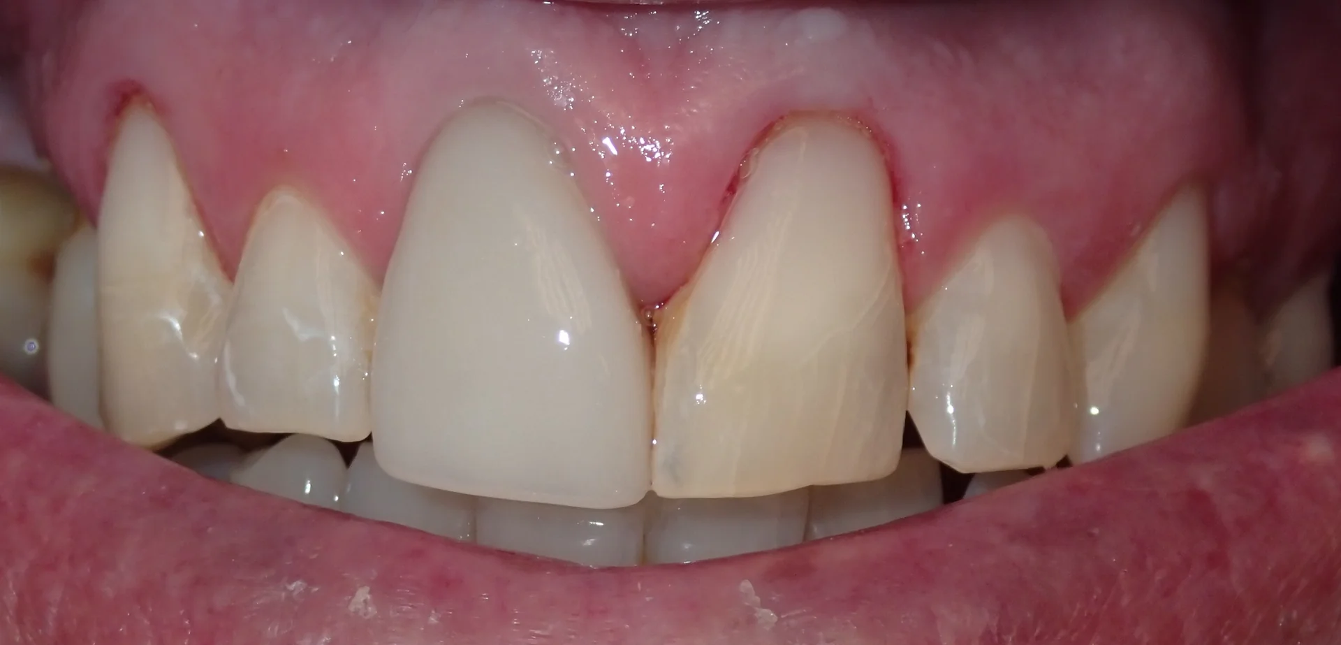
Cavities that formed along the gumline of this patient’s front two teeth made them embarrassed to smile. Dr. Matt used 2 tooth colored fillings in under 20 minutes to fix these teeth and allow this patient to smile again!
Before
After
Trouble chewing because of 2 missing back teeth originally brought this patient to Dr. Matt. A porcelain bridge was completed by Dr. Matt to give this patient the ability to chew and smile again!
Before
After
This patient had a dental emergency where they broke ¾ of their front tooth. Dr. Matt was able to use tooth colored filling material to build up their front tooth again the same day in 30 minutes. The patient can now go back to their day without worry or embarrassment.
Before
After
After seeing glowing reviews of Wyoming Dental, this patient was finally ready to address cavities on their teeth that have bothered them for years. Dr. Matt fixed 3 teeth with tooth colored fillings in one appointment so that the patient can start smiling again.
